SCHNUTE.

Wir bringen Berlin zum Lächeln.

Als Spezialisten für ein ästhetisches und gesundes Lächeln bietet unser Top-Team ein breites Leistungsspektrum in den Bereichen ästhetische Zahnmedizin, Kieferorthopädie und Prophylaxe. Dr. Lars Dolmen ist Zahnarzt mit der Qualitätszertifizierung „Master of Science der Kieferorthopädie“ und spezialisiert auf die nahezu unsichtbare Zahnkorrektur mit transparenten Zahnschienen, sogenannten Alignern. An seiner Seite ist Jasmin Ecker als über die Berliner Stadtgrenzen hinaus bekannte Spezialistin für ästhetische Zahnkorrektur tätig.

An unseren zwei Standorten in Berlin treffen Sie neben den zwei Gründern der Innovations-Zahnarztpraxis immer auf ein breites Expertenteam, das durch stetige Fortbildungen immer die modernsten Methoden verwendet, dabei aber stets empathisch und mit viel Leidenschaft für Ihr persönliches Lächeln und beste Zahngesundheit steht.

Schnute – das ist DIE Zahnarztpraxis in Berlin, für Berlin. Bei uns erhalten Sie alle Leistungen aus einer Hand – vom Bleaching über passgenaue Veneers bis hin zur Korrektur von leichten bis schweren Zahnfehlstellungen für alle Altersklassen.

Schnute: Für einen gesunden Biss, für Ihr strahlendes Lächeln.

Wir wissen auch, dass die Frage „Was kostet Invisalign®?“ oder auch „Was kostet eine professionelle Zahnreinigung?“ mit entscheidend sind, ob man eine solche Behandlung beginnen möchte.

Wir möchten, dass für alle Patienten die Behandlung im Vordergrund steht und nicht die Kosten. Daher bieten wir als eine der wenigen Praxen in Berlin eine kostengünstige Finanzierung der kieferorthopädischen Behandlung an:

Schnute Berlin - Zahnbehandlung 36 Monate zinsfrei finanzieren

Sprechen Sie uns auf die 36 zinsfreien Monate an!

Unser Schnute-Wissen

BLOG | NEWS

Die neuesten Infos für unsere Lieblings-Patienten

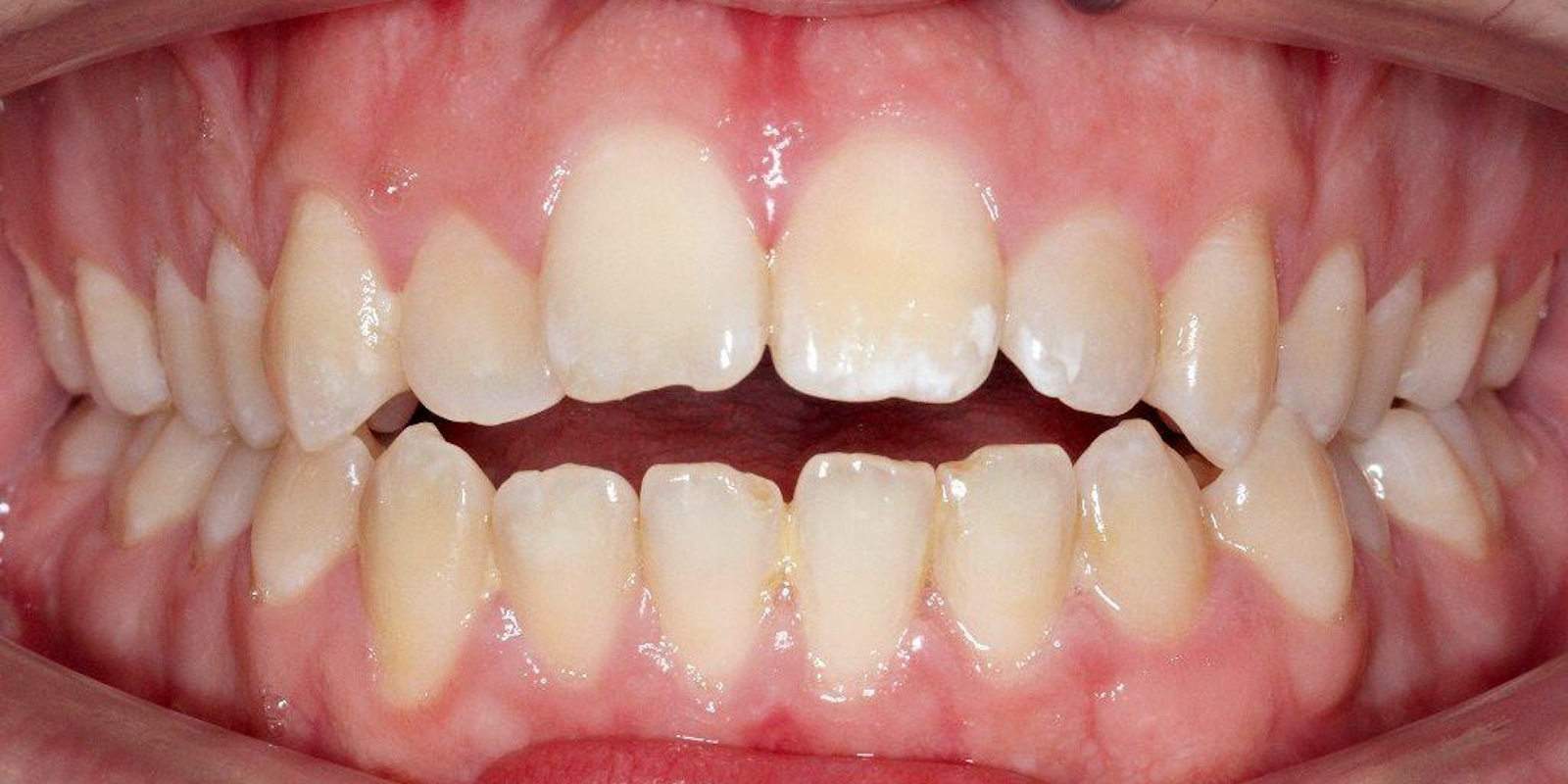
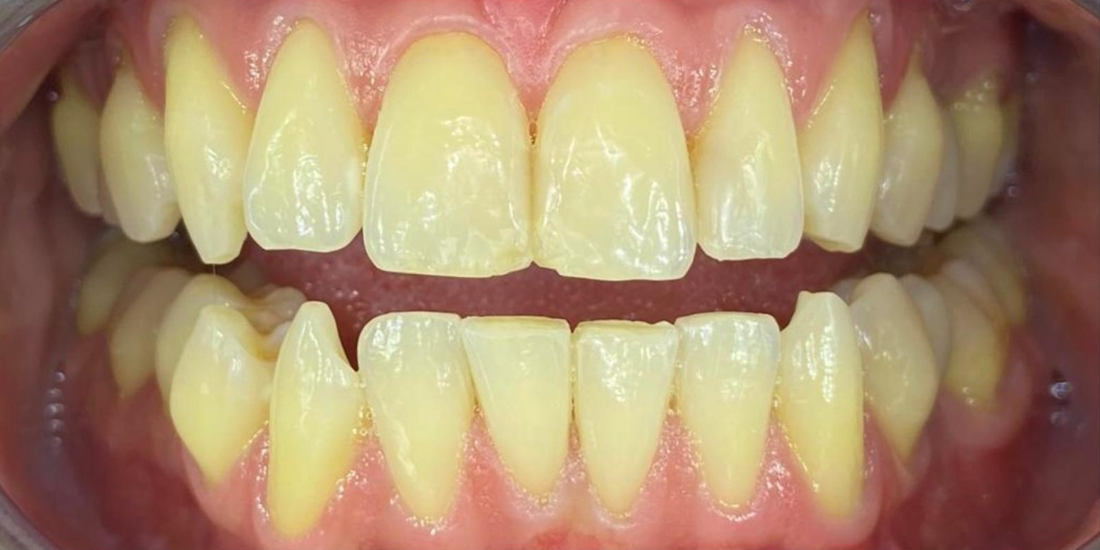
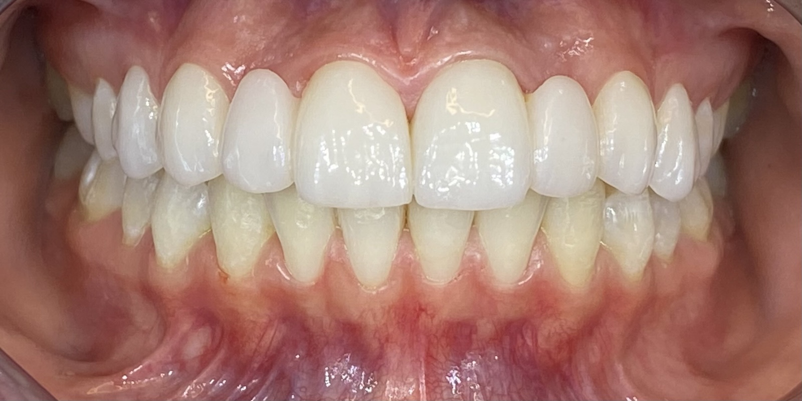
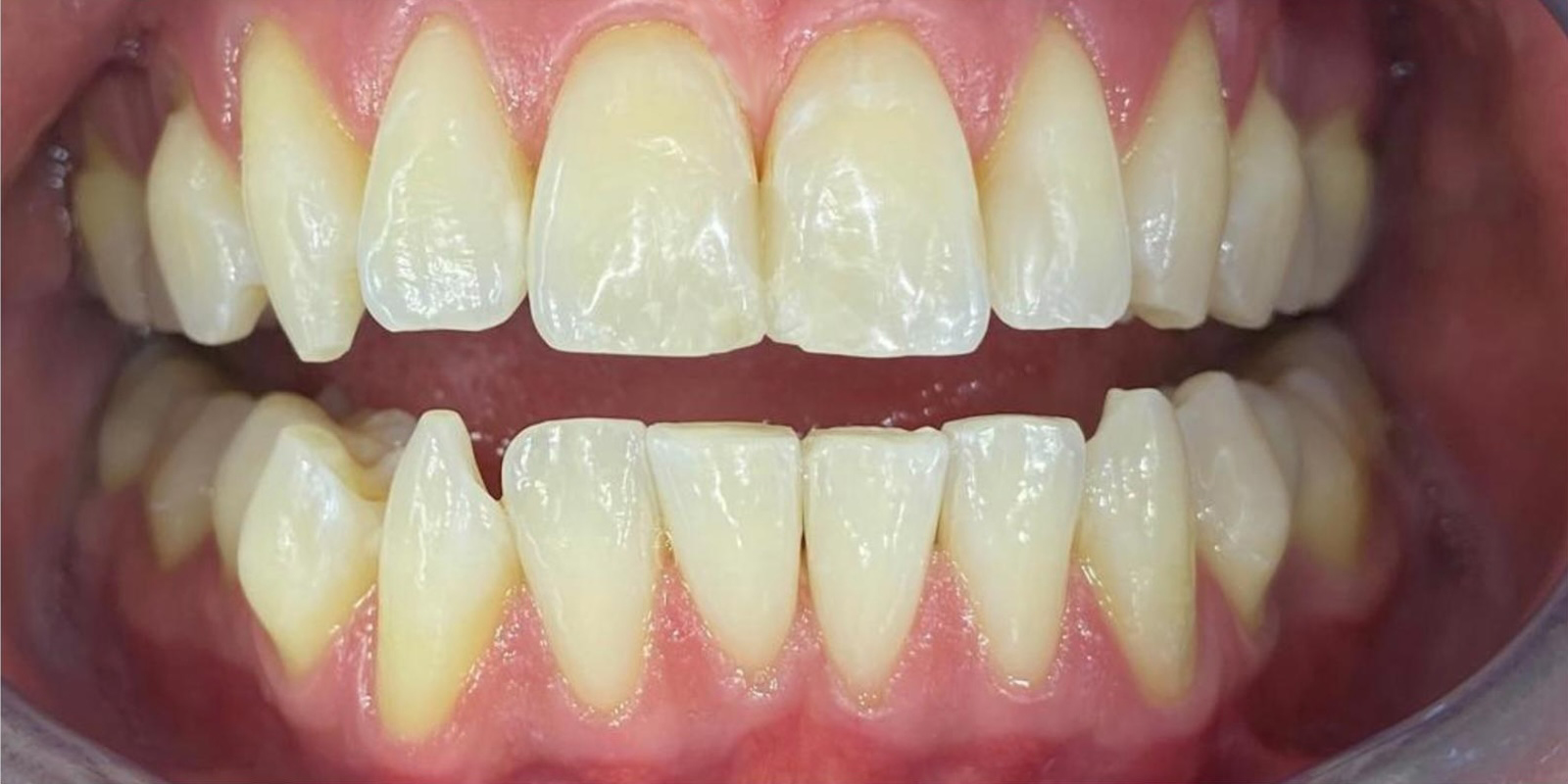
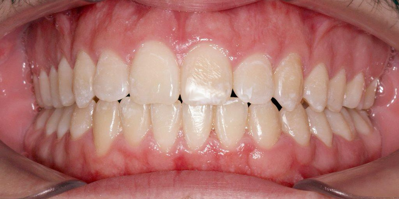
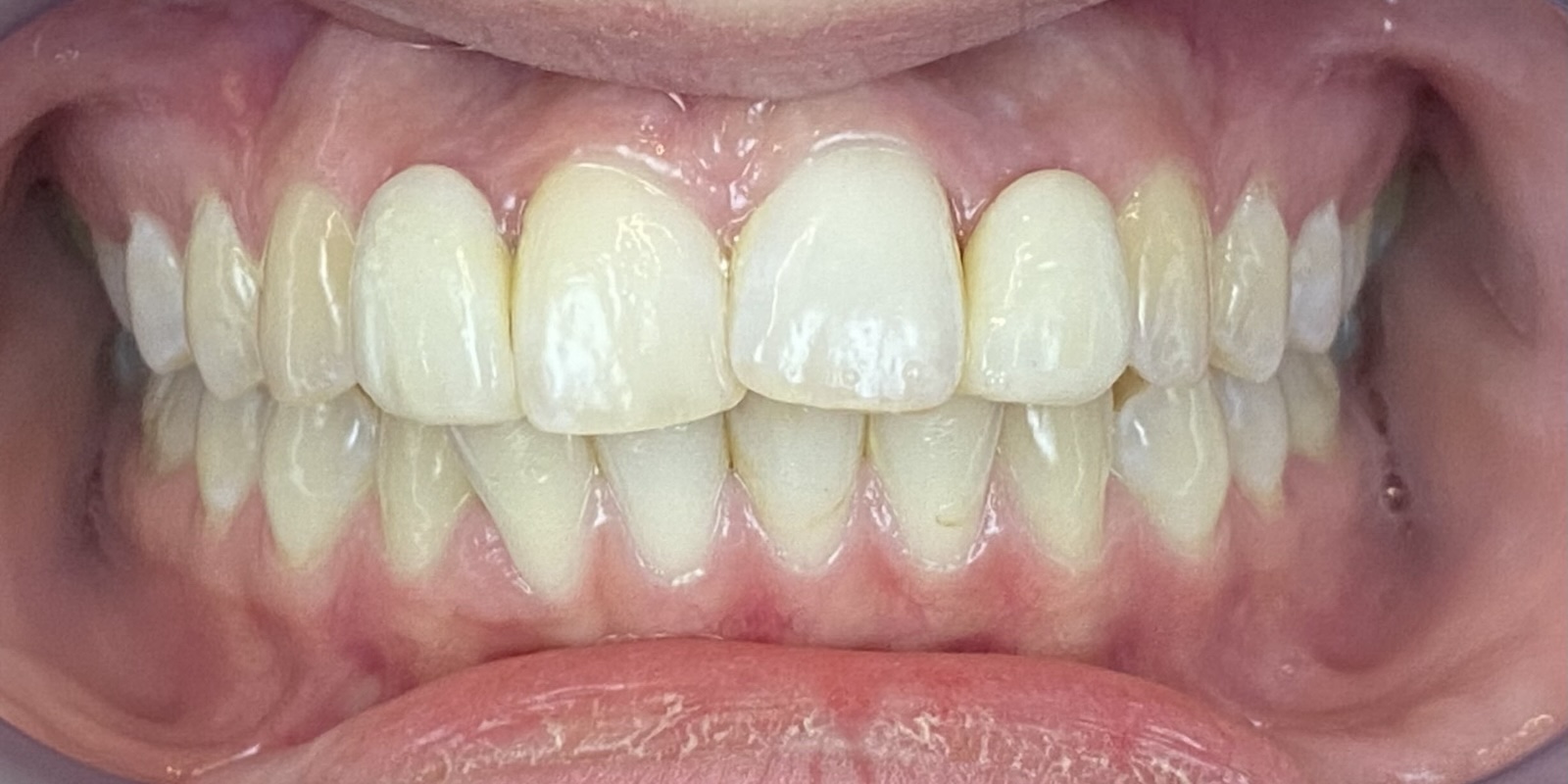
Ergebnisse

Vorher – Nachher

Wir lieben Schnuten und das zeigen wir gerne.

Hier präsentieren unsere Patienten, wie ihnen unser Team mit verschiedenen Methoden ein neues, wunderschönes Lächeln geschenkt hat.

Ob Kieferorthopädie oder ästhetische Korrektur:

Überzeugen Sie sich selbst – anhand unserer Vorher-Nachher-Bilder aus unseren Schnute Praxen aus Schöneberg und Wilmersdorf.

KFO-Behandlung

VorherNachher

Veneers

VorherNachher

Bleaching

VorherNachher

Unsere Spezialgebiete

Kieferorthopädie

Innovative Kieferorthopädie

Unser Team verfügt über langjährige Erfahrung mit modernen Aligner-Behandlungen. Egal in welchem Alter gilt: Wir planen gemeinsam mit dem Patienten das optimale Ergebnis.

Komplett digitalisiert bringen wir Berlin zum Lächeln – mit hauchdünnen, transparenten Zahnschienen, den Invisalign®-Alignern.

Dabei sind wir spezialisiert auf die Hybrid-Therapie, mit der sich sämtliche Fehlstellungen präzise, effizient und vor allem sanft und komfortabel behandeln lassen. Ob gekippte Zähne, Lücken Kreuz- oder Überbiss, mit dieser Alternative zur klassischen Zahnspange profitieren Sie von besten Ergebnissen bei geringster Sichtbarkeit.

Denn auch in der Kieferorthopädie gilt bei Schnute: Ästhetik-Anspruch zählt zu jedem Behandlungszeitpunkt.

Ästhetik

Natürliche Zahnästhetik

Zahnästhetik 2.0 – Natürlichkeit ist unser oberster Anspruch. Ob Lücke, Zahnverfärbung, ungünstige Zahnform oder Schiefstand – mit hochwertigen Veneers lassen sich Unregelmäßigkeiten dezent und natürlich ausgleichen.

Dabei muss deutlich weniger Zahnsubstanz abgetragen werden als bei einer konventionellen Krone und die Haltbarkeit der Ergebnisse lässt sich mit einer guten Pflege deutlich verlängern.

Wir sind Ihre Spezialisten für Frontzahnkorrekturen und schenken Ihnen das Lächeln zurück, das Sie verdienen.

Zahnreinigung

Gesunde Zähne

Eine regelmäßige professionelle Zahnreinigung ist der Schlüssel zu einer langfristigen Zahngesundheit.

Deshalb arbeiten bei Schnute viele erfahrene Prophylaxe-Spezialisten mit der hocheffektiven Guided-Biofilm-Therapie.

Dieses minimalinvasive Verfahren reduziert den Einsatz von Handinstrumenten und Schall- und Ultraschall-Scalern auf ein Minimum und stellt gleichzeitig ein Ergebnis sicher, das Sie und Berlin lächeln lässt.

Bleaching

Strahlendes Lächeln

Ein Hollywood-Lächeln mitten in Berlin!

Wie das geht? Ganz einfach! Mit einer professionellen Zahnaufhellung von Schnute.

Mit unserem Bleaching entfernen wir unschöne innere und äußere Verfärbungen der Zähne, wie sie etwa durch Karies, Medikamente, Kaffee, Tee und Zigaretten entstehen. Korrekt geplant und fachmännisch umgesetzt lassen sich die Zähne um mehrere Stufen schonend aufhellen.

Das sorgt nicht nur für ein gesünderes Aussehen, sondern auch für ein deutlich gesteigertes Selbstbewusstsein.

Zwei Standorte

IN SCHÖNEBERG UND WILMERSDORF

Fachliche Expertise an gleich zwei Standorten in Berlin.

Unsere Spezialisten bringen Berlin zum Lächeln – das ist unser Motto, der Berliner Zahnarztpraxis Schnute für Zahnästhetik und Kieferorthopädie.

In Schöneberg und Wilmersdorf behandelt das bunte Team rund um Zahnärztin Jasmin Ecker und Zahnarzt Dr. Lars Dolmen, alle Patienten auf höchstem Niveau.

Unsere Passion ist die Ästhetik. Wir vereinen Kieferorthopädie und ästhetische Zahnheilkunde – und achten dabei stets auf eine intakte und nachhaltige Zahngesundheit.

Als moderne Praxis legen wir großen Wert auf Innovation. Patienten aller Altersklassen profitieren in unseren Schnute-Praxen von aktuellsten, häufig digital gestützten Therapieformen. So finden wir den schonendsten, schnellsten und damit besten Weg für das Berliner Traumlächeln.

Schauen Sie gerne bei uns vorbei!

Zwei Standorte

IN SCHÖNEBERG UND WILMERSDORF

Fachliche Expertise an gleich zwei Standorten in Berlin.

Unsere Spezialisten bringen Berlin zum Lächeln – das ist unser Motto, der Berliner Zahnarztpraxis Schnute für Zahnästhetik und Kieferorthopädie.

In Schöneberg und Wilmersdorf behandelt das bunte Team rund um Zahnärztin Jasmin Ecker und Zahnarzt Dr. Lars Dolmen, alle Patienten auf höchstem Niveau.

Unsere Passion ist die Ästhetik. Wir vereinen Kieferorthopädie und ästhetische Zahnheilkunde – und achten dabei stets auf eine intakte und nachhaltige Zahngesundheit.

Als moderne Praxis legen wir großen Wert auf Innovation. Patienten aller Altersklassen profitieren in unseren Schnute-Praxen von aktuellsten, häufig digital gestützten Therapieformen. So finden wir den schonendsten, schnellsten und damit besten Weg für das Berliner Traumlächeln.

Schauen Sie gerne bei uns vorbei!

Öffnungszeiten

MONTAG – DONNERSTAG
08:00 – 19:00 Uhr

FREITAG
09:00 – 13:00 Uhr

Qualifikationen und Mitgliedschaften

Schnute-Fakten

Unsere Zahlen sprechen für sich.
0+
Zähne bewegt
0+
zufriedene Patienten
0+
Mitarbeiter
0
Standorte